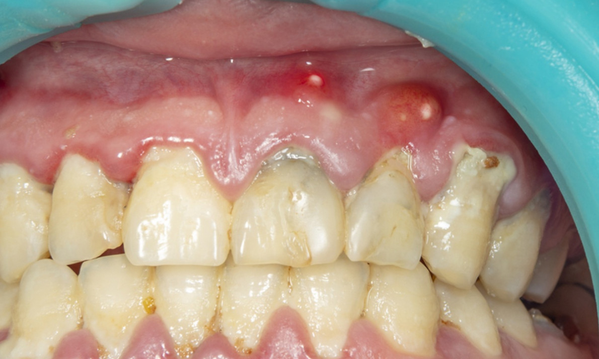
Απόστημα στο δόντι: 4 φυσικοί τρόποι αντιμετώπισης (εικόνες)

Η συγκέντρωση πύου στα ούλα ή στη ρίζα του δοντιού, που οφείλεται στην ύπαρξη φλεγμονής, ονομάζεται απόστημα.

Απόστημα στο δόντι: 4 φυσικοί τρόποι αντιμετώπισης (εικόνες)

Τα αποστήματα εμφανίζονται συνήθως μετά από οδοντιατρική χειρουργική επέμβαση, εξαιτίας λοίμωξης των ούλων, τραυματισμού ή φθοράς των δοντιών.

Διαβάστε περισσότερα στο Onmed.gr

©2011-2025 Astrology.gr - All rights reserved